关节软骨组织中没有血管、淋巴、神经组织,一旦发生损伤或退化病变后难以自修复。软骨组织的损伤经常伴随软骨下骨的病变,仿生骨和软骨组成和结构的分层多孔支架被认为是修复骨软骨组织的方法之一。
成人tv 聚合物分子工程国家重点实验室主任丁建东教授与实验室PI、上海华山医院陈世益教授合作,利用3D打印技术,一步法连续构建双层多孔水凝胶支架,在没有负载外源性细胞或生长因子的情况下,成功地诱导骨软骨组织修复再生,并发现溶胀的水凝胶支架的孔隙和力学性能对组织修复再生有重要影响。
图1 一步法连续3D打印构建的双层支架的组成结构及其在骨软骨修复中的应用
丁建东团队运用了其所化学改性的明胶大单体gelMA水体系随温度降低呈现sol-gel转变之间的特征,并提出了“初生凝胶”的概念,即,在合适的改性程度、浓度、温度条件下,刚低于相转变点所形成的水凝胶具有显著的非牛顿流体行为,呈现强烈的剪切变稀和自修复能力,由此解决了挤出成型中方便挤出和保持塑型的两难问题,进一步将物理凝胶化和化学凝胶化相结合,获得了较为理想的交联明胶GelMA水凝胶多孔支架。调节3D打印的梁间距,制备了一系列双层多孔水凝胶支架。综合结合支架的力学性能、体外细胞迁移和增殖实验以及体内的兔关节软骨-软骨下骨的再生修复。研究发现在溶胀的水凝胶支架中,中等合适的孔隙能保证细胞的充分迁移、营养的充分输送并且提供必要的力学性能。优化条件下再生的关节软骨的微观结构呈现正常的组织学形态。
图2 3D打印水凝胶支架用于骨软骨修复再生的关键因素

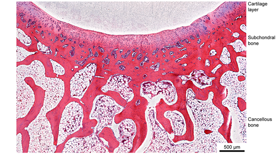
图3 再生关节软骨及其周边的组织学显微图片
以上相关成果在Advanced Healthcare Materials发表。详见:Jingming Gao#, Xiaoquan Ding#, Xiaoye Yu, Xiaobin Chen, Xingyu Zhang, Shuquan Cui, Jiayue, Shi, Jun Chen, Lin Yu, Shiyi Chen*, Jiandong Ding*, Cell-free bilayered porous scaffolds for osteochondral regeneration fabricated by continuous 3d-printing using nascent physical hydrogel as ink, Advanced Healthcare Materials, 2020: e2001404 。 论文的共同第一作者是成人tv 高镜铭博士生和华山医院运动医学研究所丁孝权博士,通讯作者为华山医院陈世益教授和成人tv 丁建东教授。
论文链接://doi.org/10.1002/adhm.202001404